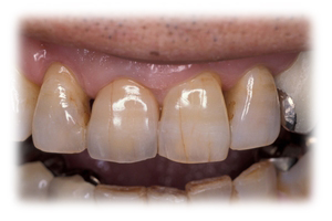
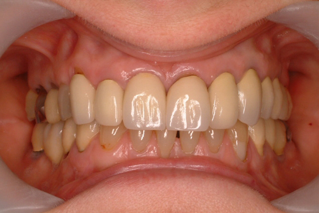
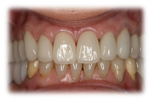
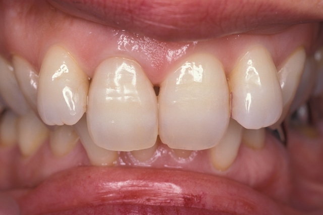
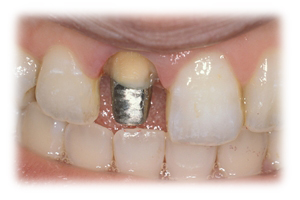
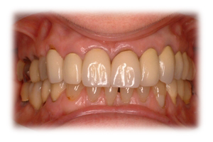
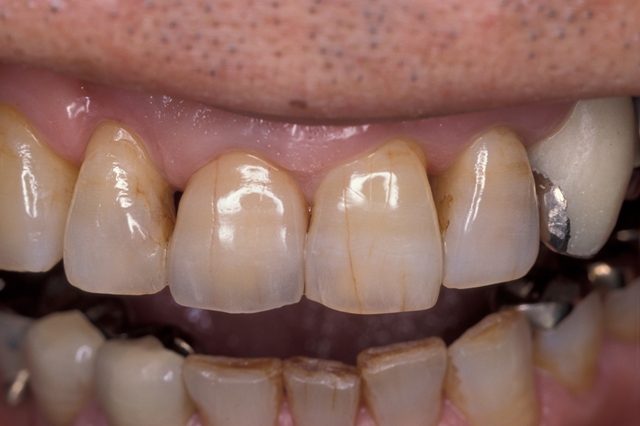
Clinical Examples 臨床例

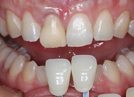
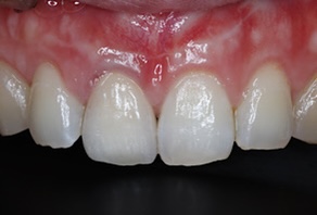
ケース1



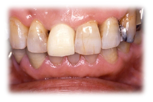
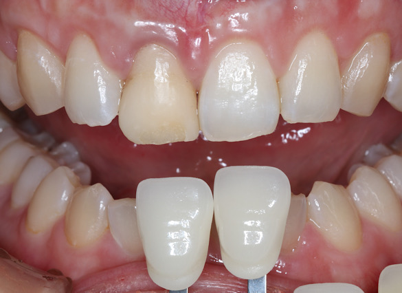
ケース2



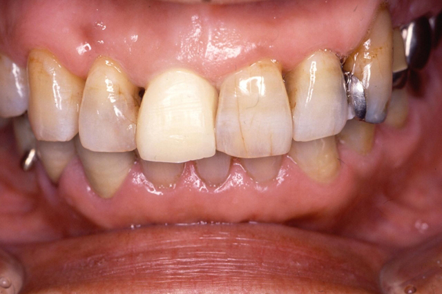
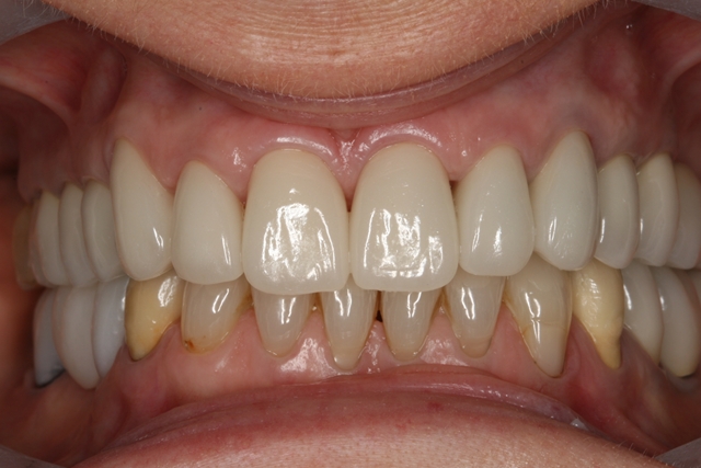
ケース3



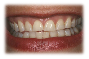
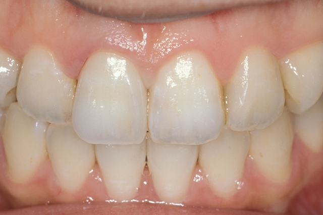
ケース4



ケース5

ケース6